
Die Preisgestaltung, die sich in unserem staatlichen, einzigartig überbürokratisierten Gesundheitswesen breitflächig eingenistet hat, sieht folgendermaßen aus:
Der Sozialstaat gibt für jede ärztliche Behandlungsmaßnahme einen Preis vor, den er sich leisten kann. Schließlich möchte die Sozialpolitik beim Volk unbedingt damit punkten, dass alle gewünschten Leistungen jederzeit zur Verfügung stehen. Ob dieser Preis für die Arztpraxis oder die Klinik kostendeckend ist, interessiert dabei zunächst einmal nicht. Die Arztpraxis ist gezwungen, ihre Leistung für diesen Preis irgendwie hinzubekommen. Sie wird das in aller Regel auch so schaffen, dass am Monatsende ein gewisses Plus übrig bleibt, das in der Praxis alle zufrieden stellt.
Wird der Preis -wie inzwischen üblich- aufgrund knapper Kassen abgesenkt oder einfach nicht der allgemeinen Preisentwicklung entsprechend erhöht, so wird die Arztpraxis ihre Leistung dafür sicher auch irgendwie erbracht bekommen, ohne dass qualitative Defizite offen wahrnehmbar sind. Vielleicht mit billigeren Materialien, vielleicht mit älteren Geräten, vielleicht mit weniger qualifiziertem Personal, vielleicht ganz einfach, indem in derselben Zeit eineinhalb mal so viele Patienten behandelt werden wie vorher. Die Vielfalt der Möglichkeiten ist geradezu beeindruckend. Ein staatliches “Institut für Qualitätssicherung in der Medizin” vermag daran definitiv ebenso wenig zu ändern wie das freundliche Lächeln aus dem Gesundheitsministerium.
Um Qualität überhaupt erst einmal zu ermöglichen, bevor man sie denn sichern kann, gibt es ohne wenn und aber nur genau eine einzige Möglichkeit:
Die Praxis oder das Krankenhaus muss als Grundlage zunächst einmal über die für eine moderne und qualitativ hochwertige Patientenversorgung erforderlichen finanziellen Mittel verfügen. Man muss nicht Mathematik studieren, um zu begreifen, dass unbegrenzte Leistungen für begrenzte Mittel schlicht und einfach nicht erhältlich sind. Auch nicht per Gesetz. Jeder versuchte Umweg um diese Tatsache herum muss sich zwangsläufig als Irrtum erweisen.
Sicher gibt es hier oder dort Möglichkeiten, die Effizienz zu verbessern und Kosten einzusparen. Dass diese aber eine Größenordnung darstellen, durch die das gesamte System gefährdet oder geheilt werden kann, ist eine Erfindung ideologischer Tagträumer.
Was für ein Interesse sollte vor diesem Hintergrund nun eine Arztpraxis haben, für das staatliche Einheitshonorar erheblich mehr zu leisten als die schlechtesten Kolleginnen und Kollegen ?
Denken Sie jetzt eventuell auch sofort an den Begriff “Ethik”?
Für diesen Fall soll die an dieser Stelle erfahrungsgemäß regelmäßig anstehende Diskussion rund um das Thema “ärztliche Ethik” mit einem Zitat von Rudolf Virchow (1821-1902) ein wenig entschärft werden. Das Problem eines keineswegs als zwingend selbstverständlich angesehenen leistungsadäquaten Honorierungsanspruchs scheint also durchaus schon etwas länger existent zu sein:
“Immer wenn einer von Ethik spricht, weiß ich, dass er nicht zahlen will.”
(Rudof Virchow, 1821 - 1902)
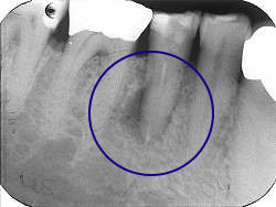
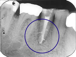
Im folgenden Bildbeispiel wird die vorstehend geschilderte, zentrale Problematik unseres leider weitestgehend sozialistisch strukturierten Gesundheitswesens sehr anschaulich deutlich.
Auch für den Laien ist unschwer der Unterschied zwischen den zwei Wurzelkanalfüllungen erkennbar, die von zwei verschiedenen Zahnärzten am selben Patienten nacheinander durchgeführt wurden - zunächst ohne Erfolg, beim zweiten Mal mit:
WICHTIG: Von der Krankenkasse des Patienten erhielten über die Chipkarte beide Ärzte exakt die gleiche Vergütung: 64,46 EUR. Das mutet zunächst einmal fair an und lässt sich in einem solchen Chipkartensystem auch nicht wirklich sinnvoll ändern.


Der erste Behandler wird in Deutschland als anständiger, bescheidener Arzt mit hohen ethischen Ansprüchen hofiert.
Der zweite Kollege läuft permanent Gefahr, von Kassen, Politik und Medien als gefährlicher, geldgieriger “Abzocker” betitelt zu werden, der “den Hals nicht voll bekommt”.
So verrückt ist unserer Land. Und das nur, weil ein finanziell völlig überlastetes Sozialsystem für eine Spitzenleistung schlichtweg nicht mehr als 64,46 EUR bezahlen kann, dies aber niemand offen und ehrlich zugeben mag.
Verstehen Sie diese Ausführungen bitte nicht falsch - überdurchschnittliche Preise allein sind keineswegs eine Garantie für überdurchschnittliche Qualität. Aber sie machen hohe Qualität immerhin wenigstens möglich. Der Rest ist Vertrauenssache zwischen Patient(in) und Arztpraxis. Bei staatlich diktierten Spaßpreisen dagegen nützt auch das größte Vertrauen nichts - und der Spaß hört oftmals schnell auf.
Unsere Antwort:
Die Preisgestaltung unserer Praxis folgt einem ebenso eindeutigen wie transparenten Maßstab: Sie richtet sich nach dem zeitlichen, fachlichen und technischen Aufwand, der ihr gegenüber steht. Nicht umgekehrt.
Da unser Sozialsystem die dafür erforderlichen Mittel bekanntermaßen schon lange nicht mehr überall zur Verfügung stellen kann, steigt der Anteil, den Sie selbst für Ihre fachlich optimale und vollständige Behandlung leisten müssen, leider kontinuierlich an.
Dieses Problem lässt sich auch nicht durch Verweise auf das Kassenvertragsrecht vertuschen. Selbstverständlich ist ein Vertragsarzt verpflichtet, seine Patienten gemäß der bestehenden Verträge zu versorgen. Dies führt jedoch bei steigendem medizinischem Fortschritt immer häufiger in eine ernste Zwickmühle: Notwendige Leistungen, die von der Kasse nicht übernommen werden, müssten schlicht unterlassen werden, um einen Patienten frei von finanziellen Eigenbeteiligungen zu halten. Das aber wäre für den Arzt eine klare zivilrechtliche Einbahnstraße.
Hoffnung auf Besserung können wir Ihnen bedauerlicherweise nicht machen. Das Finanzierungsproblem wird sich in der Zukunft immer rasanter verschärfen (und seitens der Politik möglicherweise trotzdem immer lauter bestritten werden).
Auch privat versicherte Patientinnen und Patienten sind zunehmend von der Entwicklung betroffen, dass sie Behandlungskosten nicht vollständig erstattet bekommen und stetig zunehmende Eigenanteile tragen müssen. Dies gilt ganz besonders im Bereich der Beamtenbeihilfe.
Da die Gebührenordnung für Zahnärzte (GOZ) seit über drei Jahrzehnten nicht der allgemeinen Kostenentwicklung angepasst wurde, lässt sich der mit der Behandlung verbundene (stetig steigende) Aufwand zunehmend nur noch über Faktorsteigerungen über den Mittelwert 2,3 hinaus oder individuelle Honorarvereinbarungen vergüten. Beides klammern jedoch Beihilfestellen bei der Erstattung in der Regel aus, wo immer sie meinen, dies zu können.